Indirekt héj ár: 149.000 Ft / fog
Ideiglenes héj: 12.500 Ft/ fog
Mosolyterv: 50.000 Ft
Régi héj eltávolítása: 12.000 Ft / fog
*A Beavatkozáshoz elengedhetetlen elsőként egy személyes fogászati konzultáció, ahol a fogszakorvos felméri a fogak állapotát, és kiállítja a kezelésitervet. Jelentkezzen be Online, vagy telefonon Fogászati konzultációra a Magic Dentál fogászatára!
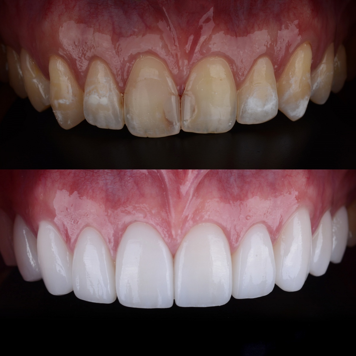
Az indirekt héj, más néven indirekt héjtechnika vagy indirekt korona, a fogorvoslásban használt eljárás, amely során a páciens fogaira egy tartós, esztétikus burkolatot készítenek.
Az indirekt héjak általában porcelánból vagy kompozit anyagból készülnek, és céljuk a fogak esztétikai megjelenésének javítása, a fogak védelme, valamint a funkciójuk helyreállítása.
Az indirekt héj lépései:
1. Előkészítés:
A fogorvos először megvizsgálja a fogakat, és megtervezi a kezelést. Az
érintett fogat előkészíti, azaz eltávolítja a szuvas részeket és formálja a fogat.
2. Lenyomat készítése:
Az előkészített fogakról lenyomatot készítenek, amely alapján a
laboratóriumban elkészítik a héjat. Ez lehet hagyományos lenyomat vagy
digitális 3D-s szkennelés.
3. Héj elkészítése:
A lenyomat alapján a fogtechnikus elkészíti az indirekt héjat, amely pontosan illeszkedik a fogra. Ez az elkészítés laboratóriumban történik, és időt vehet igénybe.
4. Ragasztás:
Miután a héj elkészült, a fogorvos a helyszínen próbára teszi, és ha minden
megfelelő, véglegesen rögzíti azt a fogra egy speciális ragasztóanyag
segítségével.
Előnyök:
Esztétika: Az indirekt héjak természetes megjelenést biztosítanak, és javítják a mosoly esztétikáját.
Tartósság: Hosszú élettartamúak, megfelelő gondozással évekig megőrzik formájukat és színüket.
Funkcionalitás: Visszaállítják a fogak rágófunkcióját, és védelmet nyújtanak a sérülésekkel szemben.
Az indirekt héjak tehát egy hatékony megoldást jelentenek a fogak esztétikai és funkcionális helyreállítására, de fontos, hogy megfelelő szakmai felügyelet mellett készüljenek.

